Same Day
Emergency Dentist in Queen Creek, AZ
We are located at 21321 E Ocotillo Rd #130, Queen Creek, AZ 85142
Same Day Appointment
Sedation Option Available

What We Do To Help
Don't Deal With Your Pain Any Longer
Common Dental Emergencies In Queen Creek, AZ

TOOTHACHE

WISDOM TOOTH COMPLICATION

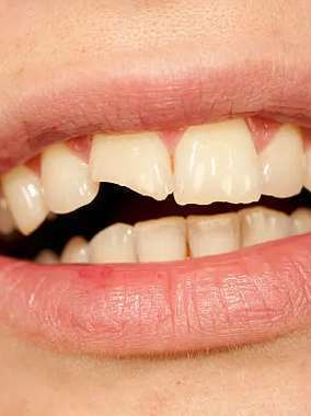
BROKEN OR CHIPPED TOOTH
Meet Our Doctors
Meet Dr. Kelly B. Wettstein, DMD
Originally from Oregon, Dr. Wettstein grew up on a farm. He received his Bachelor’s of Science Degree from Brigham Young University and then graduated from Case Western Reserve University School of Dental Medicine in the top 10% of his class. An avid believer in the importance of continuing education, Dr. Wettstein has completed extensive ongoing certifications, including becoming certified as a provider of implant dentistry, Invisalign technology, and the 6 Month Braces techniques. In addition, Dr. Wettstein received an honor from the American Equilibration Society for Outstanding Performance in the Science of Occlusion and Temporomandibular Joint Function. Dr. Wettstein is a member of the National Dental Association, Academy of General Dentistry, American Dental Association, Arizona Dental Association, and many other associations and organizations.
Dr. Wettstein is a firm believer in community development and local relationships which is why he is a member of the Queen Creek Chamber of Commerce and a leader in a local boy scout troop. Dr. Wettstein values getting to know each patient on a first-name basis and is a true hometown dentist, involved in his community, church, and neighborhood.
Dr. Wettstein and his wife, Lynnette, have been married for 20 years and have three children. Together, they enjoy water sports, traveling and spending time with friends and family. She and Dr. Wettstein are thrilled to raise their family in the land of the sun!
Meet Dr. Payton Harker, DMD
Dr. Payton Harker grew up in a town of 3000 in Alberta, Canada.
Upon graduation from high school, he served a 2-year mission for the Church of Jesus Christ of Latter-Day Saints in Nevada. After his mission, he attended Brigham Young University and graduated with a Bachelor of Science. Dr. Harker then moved to Arizona and worked in a denture lab for a year before attending dental school at Midwestern University in Glendale, AZ. Dr. Harker has spent time in foreign countries providing dental care to underprivileged communities.
His experiences in the Philippines as well as the Kingdom of Tonga taught him how quality dental care can be life changing. Dr. Harker is passionate about helping patients with their dental needs and takes pride in providing gentle care so patients can have an exceptional dental experience.

Why Emergency Dentist?
Severe, lasting toothaches or other tooth pain
A knocked-out tooth
A chipped or broken tooth
Damage to the soft tissues of the mouth
A cracked or fractured tooth
A partially knocked-out (extruded) tooth
A lost dental restoration, such as a lost filling or crown
Our Patients Are Our Biggest Fans!
What Our Patients Say About Us



4.9
Based on 1200+ Reviews.
Affinity Dental - Queen Creek
Call Us: 480-745-7875
Office Hours
Tuesday: 7 am–4 pm
Wednesday: 9 am–6 pm
Thursday: 7 am–4 pm
Friday: 7 am–2 pm
Saturday-Sunday: Closed
"Don't let your dental health suffer any longer. Schedule your appointment today!"


