Trusted Queen Creek Dentist
Welcome to a better dental experience.
Schedule your Visit
OR CALL (480) 882-2300

Welcome to Affinity Dental Queen Creek!
In a world that can be less personal, a healthy relationship between a dentist and patient is refreshing. As a trusted dentist in Queen Creek, we seek to inform our patients, build trust, and provide attention to every detail so that you can be confident in making an informed decision about your dental care. We focus on prevention and utilize a conservative approach toward dental treatment, while also incorporating the latest technology to ensure your care is comprehensive and comfortable.
LEARN MORE
Meet Our Queen Creek Dentists

Dr. Kelly B. Wettstein
Dr. Kelly B. Wettstein received his Doctor of Dental Medicine degree from Case Western Reserve University. He belongs to the American Dental Association and the Arizona Dental Association. Patients appreciate his steady approach, his skill with implants and Invisalign, and his focus on care that feels personal as well as precise.
Learn More

Dr. Payton Harker
Dr. Payton Harker earned his dental degree at Midwestern University in Arizona. He is an active member of the American Dental Association and the Academy of General Dentistry. Known for his calm manner and attention to detail, he provides preventive, restorative, and cosmetic treatments that help patients feel comfortable and cared for.
Learn More
It’s ALL here.
Comprehensive care, one convenient location.
Affinity Dental Queen Creek proudly serves Queen Creek and nearby areas with compassionate care for the whole family. From cleanings to crowns, implants, Invisalign, and more, we offer complete dental services in one convenient location. Enjoy modern technology, a comfortable setting with movies in every room, flexible payments, an in-house savings plan, and lifetime teeth whitening—all designed to keep your smile healthy and confident.

General Dentistry
Our general dentistry services help you achieve great oral hygiene. With regular appointments, we can help you prevent costly future dental issues. We’ll work with you to maintain your teeth and help you achieve a lasting, healthy smile.
View All

Cosmetic Dentistry
We want you to feel confident about your smile. Our cosmetic dentistry services—like whitening, veneers, and bonding—are designed to enhance your natural look. Whether you're looking for a small touch-up or a full smile makeover, we’ll help you achieve a beautiful, confident smile you’ll love to share.
View All

Restorative Dentistry
Our restorative dentistry services focus on rebuilding and strengthening your smile. We offer options like tooth-colored fillings, crowns, implants, and dentures to restore both function and appearance. With advanced techniques and a gentle touch, we help you regain a healthy, comfortable smile that lasts.
View All
Locally & Family Owned
Complete Family Dental Care for Ages 2+
Friendly, Compassionate Team
Beautiful State-of-the-Art Office
Most Dental Insurances Accepted
Comfort Amenities and Movies in Every Room
Flexible Payment Options Available
In-House Savings Plan
FREE Teeth Whitening for LIFE!
Specialized Services Offered such as Same Day Crowns, Dental Implants, Veneers, Wisdom Teeth Removal, IV Sedation, Botox, and Invisalign.
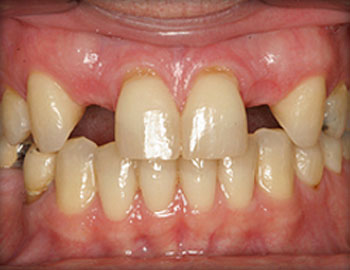
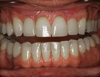
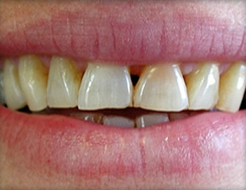
Real Smiles, Real Results
Witness The Difference A Smile Can Make
Our before-and-after section shows the real results our patients have achieved. The gallery highlights more than dental improvements; it showcases renewed confidence, healthier smiles, and the positive impact of personalized treatment. Whether it is small adjustments or complete smile makeovers, each transformation demonstrates our dedication and attention to detail.
Before
After
Before
After
Dental Insurance Plans
We accept most insurance plans. Contact us with specific questions about your plan!


What Patients Often Ask Us
Yes, we’re currently welcoming new patients of all ages. Scheduling is simple, and our friendly team is ready to help you feel comfortable while getting the dental care you need from your very first visit.
You’ll Enjoy Our Comfortable, Modern Office.
Three Easy Steps for a Confident Smile
Step 1:
Schedule
Your Visit
Booking is quick and easy. Call us at (480) 882-2300 or schedule online to make a visit for your trusted dentist in Queen Creek, at your convenience. Choose a time that works for you and take the first step toward a healthier, brighter smile.
Step 2:
Your Personalized Consultation
During your visit, our dentists listen to your concerns and goals. We will perform a complete exam, explain your options, and build a treatment plan tailored to your needs and comfort.
Step 3:
Transform
Your Smile
Whether you need a cleaning, whitening, veneers, implants, or Invisalign, your treatment begins with care and comfort in mind. Each step moves you closer to the confident, healthy smile you deserve.
Now Welcoming New Patients
Come and see us — we can’t wait to get to know you!



