Before And After Gallery

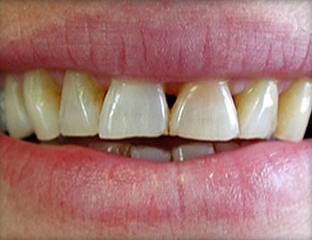
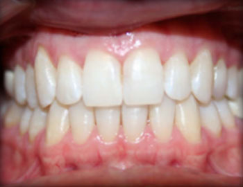
Dental Implants

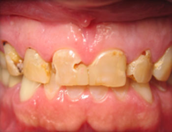
Fillings, Root Canals & Crowns

Upper Partial Denture

Lower Anterior Crowns

Full Mouth Makeover

Zoom! 1- Hour Whitening

Upper Dentures

Upper Anterior Crowns

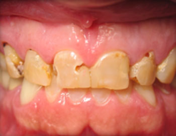
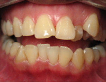
Lumineers Veneers, 3-Unit Bridge, Fillings & Crowns

Multiple Crown Replacements

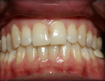
6 Month Braces (Short Term Ortho)

Invisalign Teeth Straightening

Molar Implant, Invisalign Teeth Straightening & Zoom! Whitening

Molar Implant, Invisalign Teeth Straightening, & Zoom! Whitening

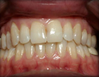
Close-up of smile showing upper teeth with visible gap and dental work, lips parted.
Before
Close-up of a bright, healthy smile showing white teeth and natural lips.
After
Woman smiling at camera with dark hair against stone background, dental professional portrait.

Multiple Crown Replacements

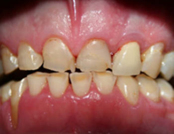
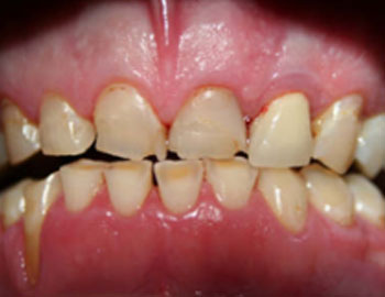
Close-up of upper and lower teeth showing dental crowns and natural tooth alignment in clinical setting.
Before
Close-up of upper and lower teeth showing dental crowns and natural tooth appearance in clinical setting.
After
Woman wearing glasses smiling at camera against yellow background, dental professional portrait.

Upper Anterior Crowns

Close-up of teeth showing discoloration and yellowing of front central incisors, dental concern example.
Before
Close-up of a person's smile displaying white, evenly-spaced teeth and healthy gums.
After
Professional headshot of smiling man in dental office setting against brick wall background.

Invisalign Teeth Straightening

Close-up of a person's smile showing white, evenly-aligned teeth and pink lips.
Before
Close-up of a person's smile showing white, healthy teeth and pink lips.
After
Professional headshot of smiling woman with blue eyes against brick wall background.

Dental Implants

Close-up dental photograph showing upper and lower teeth with visible gaps and discoloration before treatment.
Before
Close-up of bright white veneered teeth showing upper and lower dental arch in smile position.
After

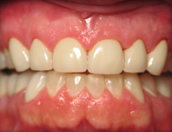
Dental Implants

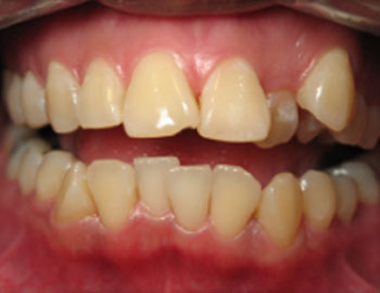
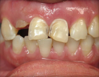
Close-up of upper front teeth showing discoloration and spacing issues requiring dental treatment.
Before
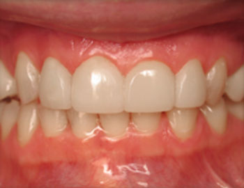
Close-up of healthy white teeth with red lipstick smile, dental care example.
After

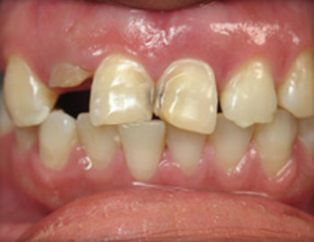
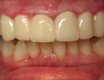
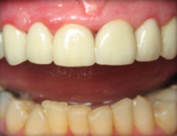
Fillings, Root Canals & Crowns

Closeup of dental condition showing yellowed, worn front teeth with gum inflammation and decay.
Before
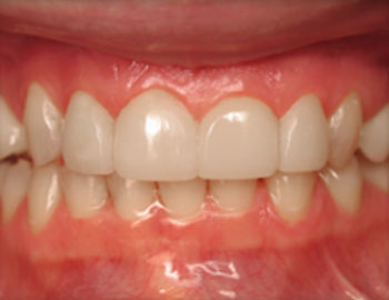
Close-up view of upper and lower teeth showing dental alignment and gum health.
After

Upper Partial Denture

Close-up dental photograph showing upper front teeth with visible gap and discoloration, intraoral view.
Before
Close-up of upper front teeth showing dental work and natural tooth structure in clinical setting.
After

Full Mouth Makeover

Close-up of teeth showing gaps and misalignment, dental concern example for orthodontic treatment.
Before
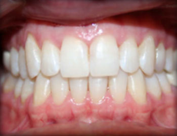
Close-up of healthy white teeth and pink gums showing proper dental alignment and oral health.
After

Lower Anterior Crowns

Close-up of person's smile showing teeth with visible discoloration and misalignment issues.
Before
Close-up of person's smile showing white, evenly-spaced teeth and healthy gums.
After

Upper Partial Denture

Close-up of upper front teeth showing natural tooth color and spacing before dental treatment.
Before
Close-up of healthy white teeth and pink lips showing a bright smile.
After

Zoom! 1-Hour Whitening

Close-up view of aligned upper and lower teeth showing dental work or orthodontic results.
Before
Close-up of healthy white teeth and pink gums showing proper dental alignment and oral health.
After

Upper Denture

Close-up of person's smile showing upper and lower teeth with visible dental work or alignment issues.
Before
Close-up of a person's smile showing white, well-aligned teeth and healthy gums.
After

Upper Anterior Crowns

Close-up of person's smile showing teeth with visible gaps and discoloration, dental treatment example.
Before
Close-up of a bright, white smile showing well-aligned upper and lower teeth with healthy pink gums.
After

Lumineers Veneers, 3-Unit Bridge, Fillings & Crowns

Close-up of teeth showing discoloration and spacing issues requiring dental treatment.
Before
Close-up view of aligned upper and lower teeth showing dental work and healthy gums.
After

Upper Anterior Crowns

Close-up of teeth showing discoloration and staining in upper front teeth during dental examination.
Before
Close-up of a person's smile showing white, evenly-aligned teeth and healthy gums.
After

6 Month Braces ( Short Term Ortho )

Close-up of a patient's smile showing upper front teeth with natural tooth color and alignment.
Before
Close-up of a person's smile displaying white, healthy teeth and pink lips.
After
Woman smiling at camera against brick wall background for dental practice.

6 Month Braces ( Short Term Ortho )

Close-up of patient's teeth showing dental alignment and bite, dental care example.
Before
Close-up of smile showing upper front teeth with visible gaps and discoloration, demonstrating dental concerns.
After
Young man smiling at camera against brick wall background, professional headshot.